Japanese / English / Chinese / Others

デモ機貸し出しに関するお問い合わせはこちら

◆ 計測事例 水質分析

X-GLUC、MAGENTA-GALを含む特定酵素基質寒天培地

原画像

#
#
#

測定画像

#
#
  • 大腸菌(青色)、大腸菌群(赤色)を分別してカウントすることができます。

X-GLUC、MAGENTA-GALを含む特定酵素基質寒天培地(メンブレインフィルタ法)

原画像

#
#
#

測定画像

#
#
  • カメラ設定の工夫により、メンブレンフィルタ上の格子を消した状態で大腸菌(青色)のみを計測した画像です。

デソキシコレート培地、大腸菌群

原画像

#
#
#

測定画像

#
#
  • デソキシコレート培地、大腸菌群元画像
  • デソキシコレート、大腸菌群コロニー0.5以上の計測結果画像。

条件設定時の選択画像
赤く塗られた部分が、0.5mm以上のコロニー

#
#
#

普通寒天培地、飲料水中の一般生菌

一般生菌元画像

#
#
#

一般生菌全数計測画像

#
#
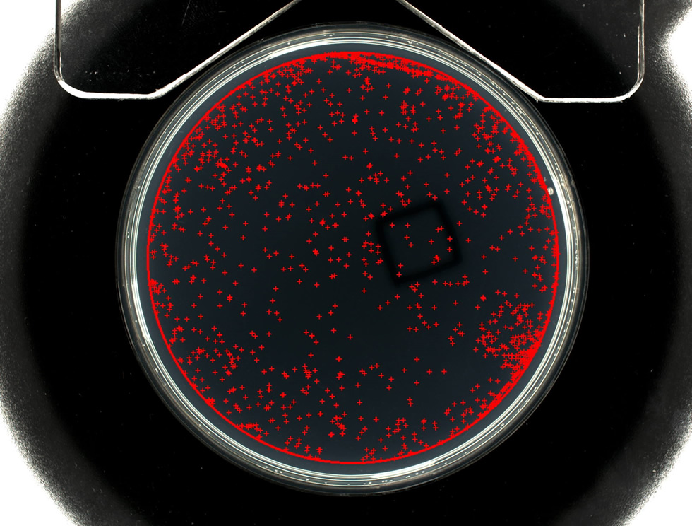
  • PSF-5100による計測例。直径0.1mmに満たないコロニも計測可能です。

普通寒天培地、 一般生菌

一般生菌元画像

#
#
#

一般生菌全数計測画像

#
#
  • 手動カウント補正無しの画像です。
事例に戻る

Event

コロニーカウンターPSFシリーズを食品工場WEEK2025 (食品衛生イノベーション展 東京)に出展いたします。

ご来場をお待ちしております。

会期: 2025年 12月3日(水)~12月5日(金)

会場:幕張メッセ 弊社小間番号:10-36(10ホール)

more >

#