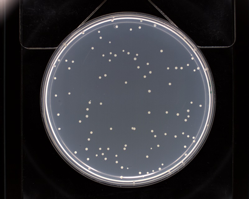
◆ Measurement examples of mutagenicity testing "Ames test"

Accurate measurements are possible even if the number of colonies on a petri dish greatly increases or decreases depending on the dilution factor.

We can also customize the report form for you, please feel free to contact us.

Original image

#

Result image

Original image

#

Result image

Original image

#

Result image

Original image

#

Result image

Original image

#

Result image

Event

We will exhibit Automatic colony counter, PSF series at Analytica2026

March 24-27, 2026 Messe München Munich, Germany

Stand No. A3.145A

more >

#