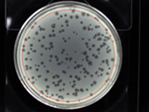
◆ Measurement examples of plaques

Original image

#

Result image

  • All plaques in the measurement region were counted without manual correction.

Original image

#

Result image

Original image

#

Result image

PSF-2100 can take clear images with a strong contrast between the plaques and the medium, which increases the measurement accuracy of unclear and small plaques.

Event

We will exhibit Automatic colony counter, PSF series at Analytica2026

March 24-27, 2026 Messe München Munich, Germany

Stand No. A3.145A

more >

#